EE. UU.Parece que de momento Ud. se encuentra en EE. UU..
Confirmar
Eligir otro país

VITA Around The World.

Darius Northey. Sunshine Coast, Queensland, Australia.

VITA Patient case Darius Northey. VITA Around The World

Statement Darius Northey: “By utilizing VITAPAN PLUS in my clinic, I am able to provide natural looking prosthesis for my patients and dentists.”

Darius Northey.
Sunshine Coast, Queensland, Australia.

Short biography of Darius Northey

  • 1993 Graduated as a Dental Technician after working in the family business for many years.
  • 1997 Established his own dental laboratory in Sydney, Australia.
  • 2004-2006 Completed the ‘Advanced Diploma of Dental Prosthetics’.
  • 2006 Established Jade Dental Laboratory Pty Ltd with his business partner/ceramist Justin Thompson in Buderim on the Sunshine Coast, Australia. The Laboratory has a denture clinic on site and also another practice on Bribie Island, Queensland, Australia.
  • They employ 11 staff and are a full service lab. Darius specialises in acrylic cases, working with dentists and directly with patients. He has a strong interest in furthering his education and attends regular courses and seminars.
  • Darius specialises in acrylic cases, working with Dentists and also directly with patients. He has a strong interest in furthering his education and attends regular courses and seminars. He lectures in Australia and overseas on implant over dentures and cad cam bars.  

The dental laboratory of Darius Northey

Jade Dental Laboratory Pty Ltd
all smiles denture clinic

95 King Street
Buderim, QLD 4556
Australia

Phone: +61 754768833
E-Mail: darius@allsmilesdentures.com.au

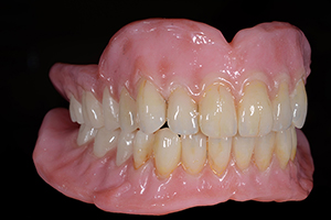
Patient case

VITAPAN PLUS® combined with VITA LINGOFORM®

The patient presents fully edentulous after having posterior extractions first, allowing for bone resorption then lastly having anteriors removed and a short healing period (note lack of lip support) VITAPAN PLUS anteriors have been chosen for this case for their outstanding esthetics. They were combined with VITA LINGOFORM posteriors set in a lingualised occlusion to aid in stability and increased function of the denture and also to ease and speed up setting.

Patient case Darius Northey: Initial situation
Initial situation.
Patient case Darius Northey: Initial situation
Initial imps
Initial impressions are taken then custom trays are made from these models.
Initial imps
Medium body
A monophase medium body impression is taken first followed by a light body wash.
Medium body
Wax blocks
Wax blocks are tried in, contours, vertical dimension and occlusal plane are adjusted.
Wax blocks
Centric
Centric is taken using gothic arch tracings.
Centric
Set up
The Teeth are set up using VITAPAN LINGOFORM using a lingualised occlusal setup with palatal cusps of upper posterior teeth only occluding in the central
Set up
fossae of lower posteriors, giving the patient freedom of lateral excusions without cuspal interference.
Stabilität
This enhances the stability of the lower denture. It is also quicker to set in the laboratory as opposed to a balanced occlusion.
Stabilität
Phonetics and aesthetics check
The teeth are tried in and phonetics and aesthetics are checked and adjusted.
Phonetics and aesthetics check
Rearticulation
The dentures are processed. Internal light gum tinting is used and the models are rearticulated and occlusion is checked.
Rearticulation
sandblasting
The teeth are lightly sandblasted in preparation for surface stain.
sandblasting
It is very quick and easy to achieve natural looking teeth.
This is done after polishing the dentures.
The denture is ready to be inserted.
The Patient is All Smiles!