VITA ENAMIC®

A new definition of stability.

What is VITA ENAMIC

VITA ENAMIC is the first hybrid dental ceramic in the world with a dual network structure that combines the best of what ceramic and composite materials have to offer.

In VITA ENAMIC, the dominant ceramic network structure and the reinforcing polymer network structure are merged fully with one another.

This innovative design results in a force-absorbing block that can be ground to high precision and allows time-saving and efficient workflows.

Indication

The entire range of single-tooth restorations can be fabricated.

Recommended indications:

  • reconstructions with reduced wall thicknesses that preserve natural tooth structure
  • posterior crowns that offer load capacity in cases with limited space availability
  • precise repair of small defects (e.g., indirect cervical fillings/delicate inlays)
  • non-/minimally-invasive reconstruction of occlusal surfaces (table top)

Product variants

VITA ENAMIC

Monochromatic CAD/CAM blanks in three translucency levels (T, HT, ST) for restorations that preserve natural tooth structure.

VITA ENAMIC multiColor

Integrated natural color gradient in six finely nuanced layers, from neck to incisal. The reconstruction can be individually positioned in the virtual blank to control the color and translucency gradient in a targeted manner. Translucency level (HT)

VITA ENAMIC IS  

CAD/CAM blanks with an integrated interface to an adhesive/titanium base for efficient fabrication of implant-supported superstructures. 

All 3 product variants are available in 3D-MASTER colors.

The advantages

  • fabricating durable restorations
    using a high-load capacity hybrid ceramic with absorption of masticatory forces
  • non-/minimally invasive restorations possible
    since the elastic hybrid ceramic enables reduced wall thicknesses
  • fabricating accurate, precise and delicate restorations
    using a hybrid material with integrated elasticity
  • cost-effective reconstruction
    thanks to time-saving CAM fabrication and efficient polishing without any firing process
  • Simple and fast workflow with excellent esthetic appearance
  • With ENAMIC multiColor, a block with a six-layer shade and translucency gradient, you can quickly fabricate restorations without esthetic compromises. No firing. No staining. Mill it. Insert it. Simply beautiful.

Clinical Cases

Non-invasive microveneer restoration made of the hybrid ceramic VITA ENAMIC

Clinical Case from Dr. Michael Tsao und Dr. Hsuan Chen, CEREC Asia, Taipeh, Taiwan

Delicate Anterior Treatments with Non-Prep Veneers Made of Hybrid Ceramic

Clinical Case from Dr. Ting-Huan Lai, Dr. Cheng-Han Li, DT Sharon Chou CEREC Asia, Taipei, Taiwan

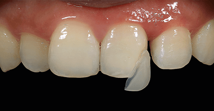
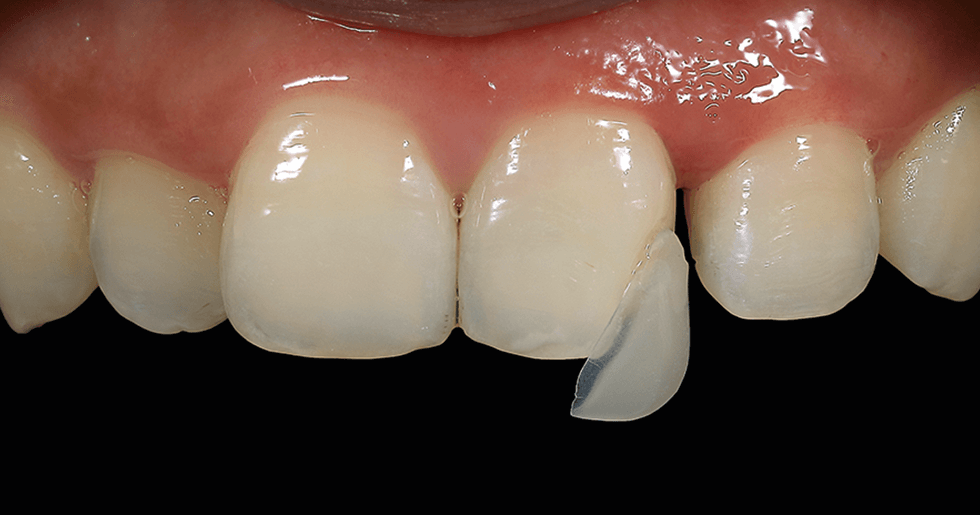
Minimally-invasive restoration of an incisal edge defect with CAD/CAM hybrid ceramic

Clinical Case from Dentist Dr. Sheng Fang Chengdu, China and Dental Technician Feng Li Chengdu, China

VITA ENAMIC multiColor in the esthetic zone

Clinical Case from Dr. Andreas ReigerTalheim, Germany

Downloads

Информация о продукции
No. 10690 VITA ENAMIC (Version 001)

DE
EN

Бланк заказов
No. 1408M VITA CAD/CAM Materials DENTAL SOLUTIONS (Version 015)

DE
EN

Бланк заказов
No. 10460 VITA CAD/CAM Materials UNIVERSAL (Version 003)

DE
EN

Contact

Отправить запрос продавцу продукции VITA

Найти ближайшего к вам продавца продукции VITA.
Найти

Any questions?

Send us a mail.

Write us an e-mail. r.meindl@vita-zahnfabrik.com

Learn more.

Give us a call!

Call us +497761562262