Implantatgetragene Kronenrekonstruktion aus der Hybridkeramik VITA ENAMIC mulitColor

Prof. Dr. Alexander Hassel
Zahnarzt, Mannheim, Deutschland 


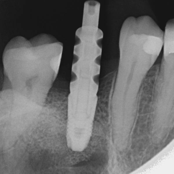
Restaurationen auf Implantaten sind besonders hohen Belastungen ausgesetzt. Da dem Patienten der elastische Faserapparat des natürlichen Zahnbetts fehlt, werden Kaukräfte nicht absorbiert, sondern direkt auf die Restauration, das Implantat, den Knochen sowie die Gegenbezahnung übertragen. Die Hybridkeramik VITA ENAMIC verfügt über eine duale Netzwerkstruktur aus Keramik und Polymer. Daraus resultieren eine dentinähnliche Elastizität und die Fähigkeit, Kaukräfte zu absorbieren. Der mehrfarbige Rohling VITA ENAMIC multiColor in der Geometrie EMC-16 ermöglicht aufgrund seiner hohen vertikalen Dimension auch bei atrophiertem Knochen die Herstellung einteiliger, monolithischer Abutmentkronen. Zahnarzt Professor Dr. Alexander Hassel zeigt im folgenden Beitrag, wie er eine Patientin mit dieser Restaurationsform versorgt.

Ihre Neugier wurde geweckt? Dann lesen Sie hier weiter:

Klinische Fallbeispiele im Überblick

Zeiteffizienz: Versorgung in einer Sitzung

Hauchdünne ENAMIC Veneers