Das Video zum Patientenfall:
Haute Couture by Kleinsman Dental Center
Es sieht so aus, als befinden Sie sich derzeit in USA.

Das Video zum Patientenfall:
Haute Couture by Kleinsman Dental Center


Zahnärzte des Praxisteams von Kleinsman Dental Center
"THE ART OF A SMILE".


Ausgangssituation: Die Patientin ist mit ihrem Erscheinungsbild nicht zufrieden und traut sich kaum herzlich zu lachen. Die Kronen passten nicht zu ihrem Typ und waren „in die Jahre" gekommen.


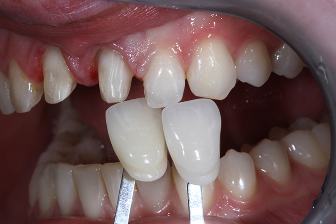
Visuelle Überprüfung der Farbe mit dem VITA Toothguide 3D-MASTER und Situation nach der Präparation.


Um die Symmetrie der Frontzähne wieder herzustellen, wurde an den Zähnen 11 und 21 eine Zahnfleischkorrektur durchgeführt.


Zur Wiederherstellung der Symmetrie wurde an Zahn 11 ein zusätzliches Zahnfleischtransplantat gelegt. In Verbindung mit dem Provisorium kann das Endergebnis bereits erahnt werden.


Zähne 11 und 21 wurden mit verblockten Zirkonoxidkronen versorgt und mit VITA VM 9 verblendet. Bei den Zähnen 12 und 22 wurden Veneers aus VITA VM 9 in der Farbe 1M2 hergestellt.


Das Ergebnis nach dem 1. Dentinbrand mit Base Dentin und ENAMEL. Danach erfolgte die Komplettierung der Form sowie der Auftrag im Schmelzbereich mit EE3, EE9 und EO1. Als Anhaltspunkt für die Form dient der vorab gefertigte Vorwall.


Fertige Kronen und Veneers auf dem Modell.


Das strahlende Lächeln der Patientin ist das beste Feedback für uns.


Detailansicht.


Schwarz-Weiß-Aufnahme zur Kontrolle der Helligkeit der Restauration.


Das Endergebnis in Perfektion. Kronen und Veneers sind nicht von natürlichen Zähnen zu unterscheiden.