Welche Vorteile bietet die Verblendkeramik VITA LUMEX AC? Antworten direkt aus dem Laboralltag!

Dr. Jorge Carro Juárez
Zahnarzt und Zahntechniker
Panotla, Tlaxcala, Mexico

Bei dem Zahnarzt und Zahntechniker Dr. Jorge Carro Juárez (Panotla, Tlaxcala, Mexico) liegt die Versorgung von Patienten in ein und derselben Hand, weshalb er der Richtige ist, wenn es um komplexe Gesamtrehabilitationen und hohe ästhetische Anforderungen geht. Bei der Fertigung von Restaurationen ist es sein Ziel, die sehr spezielle natürliche Erscheinung von Zähnen zu reproduzieren und dabei gleichzeitig dem subjektiven Empfinden der Patienten gerecht zu werden. Egal, welches Gerüstmaterial: Er will unter Einbeziehung aller individuellen Details so zahnähnlich wie möglich sein. Der Schlüssel für ein natürliches Erscheinungsbild ist sein planvolles und abgestimmtes Verblendkonzept im Zusammenspiel mit der universellen Verblendkeramik VITA LUMEX AC (VITA Zahnfabrik, Bad Säckingen, Deutschland). Im folgenden Interview gibt er wertvolle Einblicke, wie er es schafft, dass sich seine Restaurationen so perfekt wie möglich in den Mund integrieren. 

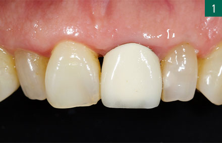
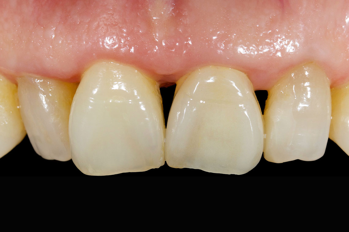
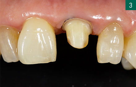
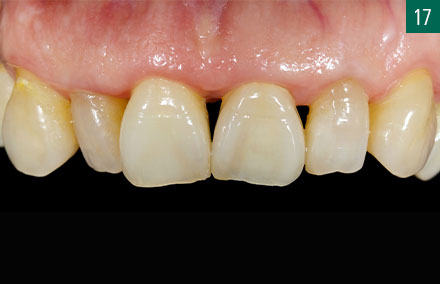
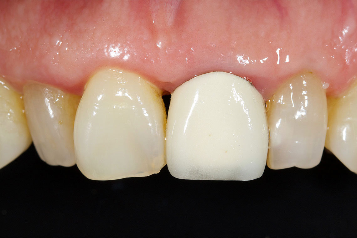
Ausgangssituation vs. Finales Ergebnis

Welche Herausforderungen sehen Sie hinsichtlich keramischer Verblendungen in Ihrem Arbeitsalltag und wie hilft Ihnen VITA LUMEX AC dabei, diese zu meistern?

Die Herausforderung, vor der ich jeden Tag stehe, ist die Entwicklung eines Schichtprotokolls, also zu wissen, wo welche Masse hingehört, die richtige strukturelle Ordnung zu finden. Außerdem ist auch die richtige Dimensionierung in der Tiefe und an der Oberfläche entscheidend. Die Grundzahnfarbe selbst ist dank VITA LUMEX AC gar nicht komplex, da die Verblendkeramik absolut farbstabil und präzise auf die VITA Farbstandards abgestimmt ist. Wenn ich mit der VITA Farbskala also eine A2 bestimme, bekomme ich von VITA LUMEX AC auch genau diese original VITA A2. Ein weiterer Vorteil ist für die meisten Anwender die Wahlfreiheit zwischen den beiden Farbstandards VITA classical A1-D4 und VITA SYSTEM 3D-MASTER. Bei der Zahnfarbbestimmung arbeite ich immer auch in Kombination mit dem Spektrofotometer VITA Easyshade V. Die digitale Zahnfarbbestimmung ist sehr präzise und geht absolut einfach von der Hand.



Wie können Sie Ihr Schichtprotokoll mit VITA LUMEX AC grundlegend beschreiben? Gibt es da ein generelles Vorgehen?

VITA LUMEX AC gibt die Farbe bei der konventionellen Schichtung aus OPAQUE DENTINE, DENTINE und ENAMEL grundlegend absolut präzise wieder. Die individuelle Note entsteht durch die Effektmassen. Deren Verwendung darf allerdings nicht exzessiv außer Kontrolle geraten, damit keine Abweichungen entstehen. Einzig und allein das liegt hinsichtlich der Farbwirkung in den Händen des Anwenders. Für die tägliche Arbeit habe ich einen Leitfaden entwickelt, der mir ein ausgewogenes Verhältnis zwischen transluzentem ENAMEL clear und maskierenderem OPAQUE DENTINE ermöglicht. Mit diesen beiden Massen ist es mir möglich die Transluzenz zu steuern und den gewünschten Transluzenzverlauf zu etablieren. Ich habe interessanterweise festgestellt, dass der Grad der Opazität der VITA LUMEX AC Massen direkt mit der Höhe der Fluoreszenz korreliert. Mit meiner selbst entwickelten Farbskala ist es deswegen auch möglich verschiedene Fluoreszenzgrade zu bestimmen und entsprechend einzustellen.


Sie haben vorher mit VITA VM 9 verblendet. Wie war die Umstellung auf VITA LUMEX AC? Wie gelingt es Ihnen Effekte und Transluzenz zu steuern?

Vom Handling her hat sich nicht wirklich etwas geändert. VITA LUMEX AC geht vom Verblendkonzept her wieder altbekannte Wege und arbeitet mit einem OPAQUE DENTINE. Das VM 9 Verblendsystem funktioniert im Gegensatz dazu mit einem BASE DENTINE. Es hat nicht lange gedauert, um mich an die wenigen neuen Nuancen von VITA LUMEX AC zu gewöhnen. Die Verblendung, die ich vorher mit VITA VM 9 entstehen lassen konnte, mache ich jetzt auch mit VITA LUMEX AC. Zum einen bietet die Verblendkeramik spezielle Effektmassen, zum anderen kann man eigene Farbeffekte auch durch Mischung mit den Malfarben VITA AKZENT Plus selbst entstehen lassen. Eine natürliche und lebendige Wirkung hängt größtenteils vom Transluzenzgrad ab. Die Transluzenz kann im Zusammenspiel mit ENAMEL clear verstärkt werden. Anwender haben so alle Möglichkeiten, die Zahnhartsubstanz zu simulieren und Vitalität entstehen zu lassen.


Welche Eigenschaften zeigt die Verblendkeramik VITA LUMEX AC bei der Modellation? Wie brennstabil sind die Ergebnisse?

Ich hatte VITA LUMEX AC von Anfang unter Kontrolle. Jeder mit ein bisschen Erfahrung, kommt mit dieser cremigeren und gleichzeitig körnigeren Verblendkeramik zurecht. Obwohl die Verblendung mit VITA LUMEX AC nicht komplex ist, erhalte ich die gleichen Effekte wie vorher mit VITA VM 9. Die Modellation ist ein Zusammenspiel aus unterschiedlichen Modellierflüssigkeiten, Keramikmassen und den Händen des Anwenders. Für die passende Konsistenz verwende ich auch ein wenig VITA INTERNO Modellierflüssigkeit, weshalb ich die Vortrocknungszeit entsprechend verlängern muss. Generell ist die Verblendkeramik sehr stabil. Kleine platzierte Portionen bleiben an Ort und Stelle, ohne dass es zu Vermischungen kommt. Durch eine gezielte Krafteinwirkung mit dem Pinsel kann eine Keramikportion jederzeit nachträglich manipuliert werden. An diese Verblendkeramik kann man sich also wirklich schnell gewöhnen, ohne dass das Endergebnis beeinträchtigt wird.