Kompromisslos präziser Workflow für die keramische Reproduktion

Zahntechniker Luis Miguel Vera

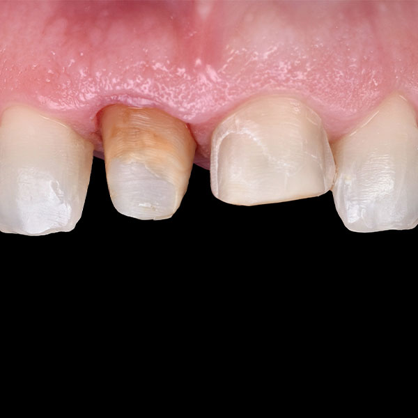
Das Farbensehen ist eine subjektive Sinneswahrnehmung, die von den Farb- und Lichtverhältnissen in der Umgebung abhängig ist. Der Zahntechniker Luis Miguel Vera (Spanien, Sevilla) hat deswegen eine Strategie entwickelt, um die Zahnfarbbestimmung maximal zu objektivieren. Er bestimmt nicht nur die Farbe der Zahnhartsubstanz in der direkten Umgebung der Restauration, sondern auch konsequent die Stumpffarbe nach der Präparation, um die Farbwirkung von Vollkeramikrestaurationen so vorhersagbar wie möglich zu machen. Fester Bestandteil seines Konzepts ist der Farbstandard VITA SYSTEM 3D-MASTER, der den Zahnfarbraum lückenlos wiedergibt und Dentalmaterialien, die dem Ergebnis seiner Zahnfarbbestimmung präzise gerecht werden. Wird eine 2M1 bestimmt, soll sich eine 2M1 eben auch im Gerüstmaterial und der Verblendkeramik wiederfinden. Im folgenden Fallbeispiel zeigt Vera, wie er mit seinem Konzept und den farbtreuen Materialien VITA AMBRIA und VITA LUMEX AC (alle VITA Zahnfabrik, Bad Säckingen, Deutschland) patientengerechte Hochästhetik entstehen lässt.

Ausgangssituation vs. Finales Ergebnis

Ihre Neugier wurde geweckt? Dann lesen Sie hier weiter:

Patientenfälle

Tutorials

Erfolgsgeschichten von Kollegen