EE. UU.Parece que de momento Ud. se encuentra en EE. UU..
Confirmar
Eligir otro país

VITA Around The World. Caso clínico

Amos Harting. St. Louis (EE. UU.)

Caso clínico EE. UU. restauración de dientes anteriores de Amos Harting. St. Louis (EE. UU.)
Caso clínico EE. UU. restauración de dientes anteriores de Amos Harting. St. Louis (EE. UU.)
Caso clínico EE. UU. restauración de dientes anteriores de Amos Harting. St. Louis (EE. UU.)

Declaración de Amos Harting: “Soy protésico dental desde 1980 y en el sector siempre he escuchado un solo nombre cuando se trata de innovación y calidad: VITA.”

Amos Harting
St. Louis (EE. UU.)

Currículum resumido de Amos Harting

Amos Harting (EE. UU.)

El protésico dental Amos Harting estudió en la Universidad de Misuri en St. Louis y en 1978 obtuvo el título de Bachelor of Science. En 1980 finalizó la carrera de Tecnología Dental con un associate degree. Es miembro del Oral Design Group, del Dawson Center for Advanced Dental Study y del Seattle Study Club. 

Una de sus pasiones es adquirir conocimientos y transmitirlos. Imparte cursos para principiantes y alumnos avanzados tanto en su propio centro de formación como en todos los estados de EE. UU. Inspirándose en su padre y en otros excelentes protésicos dentales, siempre aspira a lograr la perfección. Para ello se dedica sobre todo a temas como la cerámica de recubrimiento, una estética inconfundible y el perfeccionamiento de las estrategias de comunicación entre los laboratorios y los odontólogos.

Impresiones personales de Amos Harting

Amos Harting, St. Louis (EE. UU.)
Amos Harting, St. Louis (EE. UU.)
Amos Harting, St. Louis (EE. UU.)
Amos Harting, St. Louis (EE. UU.)
Amos Harting, St. Louis (EE. UU.)
Amos Harting, St. Louis (EE. UU.)

Amos Harting pertenece a la tercera generación al frente de la empresa familiar “Harting Dental Arts Lab Inc.”, con sede en St. Louis y 54 años de historia. En relación con su hogar y su trabajo, Amos Harting explica:

“En St. Louis, Misuri, en el corazón de Estados Unidos, tenemos una relación muy estrecha con nuestros vecinos. Mi negocio es una empresa familiar y un laboratorio dental de servicios integrales. Nuestra reputación en la comunidad es muy importante para nosotros.

Soy protésico dental desde 1980 y en el sector siempre he escuchado un solo nombre cuando se trata de innovación y calidad: VITA.” Por esta razón utilizamos productos VITA desde hace mucho más de 30 años. También me complace utilizar los productos VITA para enseñar a un sinfín de protésicos en los cursos que imparto en Estados Unidos. El sistema de colores VITA SYSTEM 3D-MASTER, junto con la VITA Linearguide 3D-MASTER y el VITA Easyshade, en combinación con los materiales de cerámica y los dientes protésicos en los colores apropiados me permiten confeccionar restauraciones estéticas para clínicas odontológicas y pacientes exigentes. Ninguna otra empresa del mundo cuenta con un sistema de este tipo que ayude a los protésicos a alcanzar la perfección estética.”

El laboratorio de Amos Harting

Impressions of the laboratory and contact information Amos Harting
Impressions of the laboratory and contact information Amos Harting
Impressions of the laboratory and contact information Amos Harting

Contacto:

Amos Harting
Harting Dental Arts Lab
6260 S. Lindbergh Blvd., Suite 101
St. Louis, MO  63123
EE. UU.

Teléfono: +1 (314) 416-0168 
E-Mail: amosharting@mac.com
Web: http://hartingdentalartslab.com

Caso clínico: tratamiento de un paciente de 19 años tras traumatismos en los dientes 21 y 11 con coronas revestidas de VITAVM®9

Caso clínico de Amos Harting EE.UU. Situación de partida: paciente de 19 años, con incisivos traumatizados.
Situación de partida: paciente de 19 años, con incisivos traumatizados.
Caso clínico de Amos Harting EE.UU. Situación de partida: paciente de 19 años, con incisivos traumatizados.
Caso clínico de Amos Harting EE.UU. Tras la preparación.
Tras la preparación queda patente la decoloración que ya presentan los dientes naturales. En este caso, el reto consiste en cubrirlos.
Caso clínico de Amos Harting EE.UU. Tras la preparación.
Caso clínico de Amos Harting EE.UU. PMMA
Restauración provisional de PMMA (polimetilmetacrilato) fresada, confeccionada en el laboratorio.
Caso clínico de Amos Harting EE.UU. PMMA
Caso clínico de Amos Harting EE.UU. Selección del color.
Selección del color con la VITA Linearguide 3D-MASTER.
Paso 1: Determinación del grupo de claridad con la VITA Valueguide 3D-MASTER. El color dental se sitúa entre 0M2 y 1M2.
Caso clínico de Amos Harting EE.UU. Selección del color.
Caso clínico de Amos Harting EE.UU. Selección del color.
Paso 2: Tras la preselección con la VITA Valueguide 3D-MASTER se realiza la determinación exacta del color con la VITA Chroma / Hueguide 3D-MASTER, grupo 1.
Caso clínico de Amos Harting EE.UU. Selección del color.
Caso clínico de Amos Harting EE.UU. Selección del color.
En este caso se determinan los colores 1M1,5 en la zona cervical, 1M1 en el tercio central y 1M1 en incisal.
Caso clínico de Amos Harting EE.UU. Selección del color.
Caso clínico de Amos Harting EE.UU. Confección de las cofias de circonio.
Confección de las cofias de circonio.
Caso clínico de Amos Harting EE.UU. Confección de las cofias de circonio.
Caso clínico de Amos Harting EE.UU. Aplicación de VITA VM 9 CHROMA PLUS.
Aplicación de VITA VM 9 CHROMA PLUS para “bloquear” el color del muñón.
Caso clínico de Amos Harting EE.UU. Aplicación de VITA VM 9 CHROMA PLUS.
Caso clínico de Amos Harting EE.UU. CHROMA PLUS cocido.
CHROMA PLUS cocido.
Caso clínico de Amos Harting EE.UU. CHROMA PLUS cocido.
Caso clínico de Amos Harting EE.UU. VITA VM 9 BASE DENTIN.
Aplicación selectiva de VITA VM 9 BASE DENTIN.
Caso clínico de Amos Harting EE.UU. VITA VM 9 BASE DENTIN.
Caso clínico de Amos Harting EE.UU. VITA VM 9 BASE DENTIN.
Caso clínico de Amos Harting EE.UU. VITA VM 9 BASE DENTIN.
Caso clínico de Amos Harting EE.UU. TRANSPA DENTINE
TRANSPA DENTINE.
Caso clínico de Amos Harting EE.UU. TRANSPA DENTINE
Caso clínico de Amos Harting EE.UU. EFFECT CHROMA
EFFECT CHROMA.
Caso clínico de Amos Harting EE.UU. EFFECT CHROMA
Caso clínico de Amos Harting EE.UU. EFFECT ENAMEL.
EFFECT ENAMEL.
Caso clínico de Amos Harting EE.UU. EFFECT ENAMEL.
Caso clínico de Amos Harting EE.UU. EFFECT ENAMEL.
ENAMEL y EFFECT ENAMEL.
Caso clínico de Amos Harting EE.UU. EFFECT ENAMEL.
Caso clínico de Amos Harting EE.UU. EFFECT ENAMEL.
Caso clínico de Amos Harting EE.UU. EFFECT ENAMEL.
Caso clínico de Amos Harting EE.UU. Situación antes y después.
Situación antes y después.
Caso clínico de Amos Harting EE.UU. Situación antes y después.
Caso clínico de Amos Harting EE.UU. Situación antes y después.
Caso clínico de Amos Harting EE.UU. Situación antes y después.
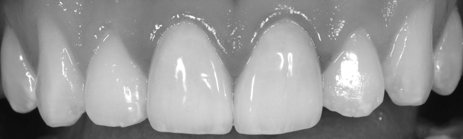
Caso clínico de Amos Harting EE.UU. Resultado final en boca.
Resultado final en boca.
Caso clínico de Amos Harting EE.UU. Resultado final en boca.
Caso clínico de Amos Harting EE.UU. Resultado final en boca.
Caso clínico de Amos Harting EE.UU. Resultado final en boca.
VITAVM®9

VITAVM®9

Información adicional acerca del producto utilizado: