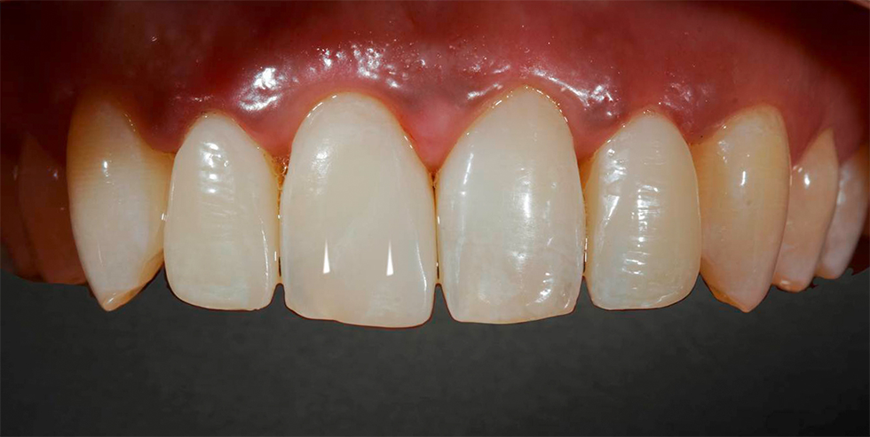
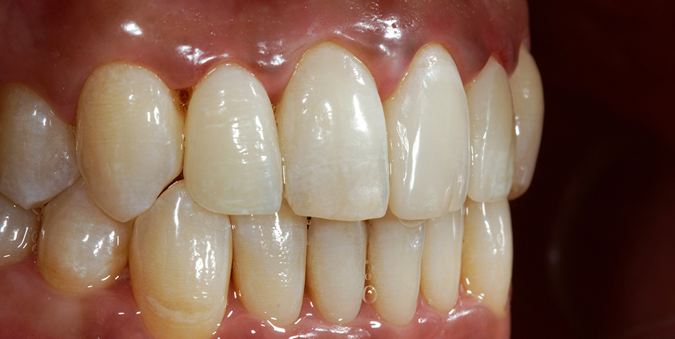
The patient was very unhappy with the appearance of teeth 12, 11 and 22. She considered her anterior teeth to be too small. She was dissatisfied with the morphology and surface of tooth 11. She explained to us that "The tooth (11) has a crack and a hollow". The patient wanted her teeth to be improved esthetically.
Parece que de momento Ud. se encuentra en EE. UU..





















