Studio Dentistico
Dr. Dini Filippo
Via Antonio Pacinotti, 110
55049 Viareggio LU
Italy
Parece que de momento Ud. se encuentra en EE. UU..



Studio Dentistico
Dr. Dini Filippo
Via Antonio Pacinotti, 110
55049 Viareggio LU
Italy


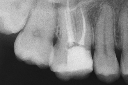
Initial situation: The patient was complaining about the lack of a contact point to the neighboring tooth. She was suffering occasional pain while chewing.


The image shows an insufficient RCT.


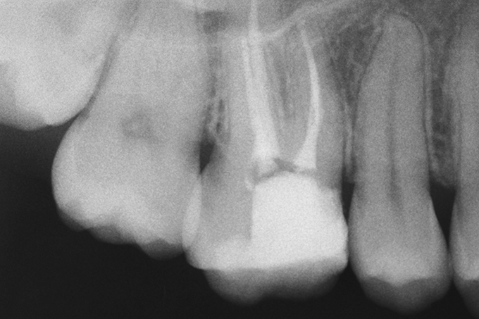
The MBII canal has been found, shaped and sealed up to the confluence with the MBI canal.


Tooth with new RCT in place.


Build-up with remodeled margin (according to Dietschi, D., Spreafico, R., 1997) and final preparation of the tooth.


Shade selection


Composite overlay (made with VITA VM LC) on the model.


Occlusal anatomy


A different point of view which shows clearly the occlusal anatomy and the translucency effects.


Overlay immediately after cementation with natural teeth still dehydrated.


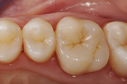
Check-up - 15 days after successful reconstruction.