De Jürgen Freitag, maître prothésiste
Jürgen Freitag (JF Dental, Bad Homburg) avec ses dizaines d'années d'expérience sait que "La perfection esthétique est le fruit de l'innovation et de la tradition". Ce spécialiste du cosmétique spécialisé dans la prothèse esthétique de haut niveau apprécie non seulement les matériaux très modernes et la technique CFAO mais aussi les atouts de la prothèse en céramo-métallique. Il conjugue ainsi le meilleur des deux mondes et propose à ses clients des travaux d'excellente qualité.
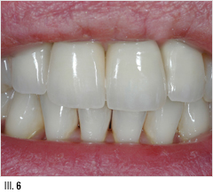
J'apprécie avant tout la polyvalence et le fort potentiel esthétique de la céramo-métallique, notamment celui de VMK Master. Pour certaines indications comme par ex. des moignons décolorés ou des travaux à attachements, je privilégie les infrastructures métalliques à celles en dioxyde de zirconium. Par exemple pour cette patiente âgée de 35 ans pour laquelle il a fallu masquer les moignons présentant de fortes dyschromies (ill. 1). Avec une solution tout céramique, le cosmétique laisserait transparaître le reflet grisâtre créé par les moignons décolorés. Il est donc évident que pour ce cas clinique VITA VMK Master s'impose.
Le cas présenté est un cas standard avec visiblement peu de potentiel pour un résultat spectaculaire. Ce sont pourtant souvent ces cas standards qui donnent de jolis résultats esthétiques sans demander un énorme travail . Le secret réside ici dans le fait de se concentrer sur l'essentiel: la forme, la couleur et l'état de surface.
Il semblerait que vous vous trouviez en ce moment en USA.








