Minimalinvasive Veneerversorgung mit der Hybridkeramik VITA ENAMIC multiColor

Dr. Andreas Kurbad
Zahnarzt, Viersen, Deutschland

 

Ästhetische Korrekturen mit Veneers sollten minimalinvasiv und schmelzbegrenzt sein und trotz geringer Schichtstärken im Mund ein natürliches Farb- und Lichtspiel entfalten. Der multichromatische CAD/CAM-Hybridkeramik-Rohling VITA ENAMIC multiColor verfügt über einen integrierten Farb- und Transluzenzverlauf mit sechs fein abgestuften Schichten. So lässt sich quasi auf Knopfdruck das natürliche Erscheinungsbild des Zahns rekonstruieren. Eine Charakterisierung mit Malfarben kann somit zumeist entfallen. Die duale Keramik-Polymer-Netzwerkstruktur der Hybridkeramik ermöglicht geringe Wandstärken von bis zu 0,2 Millimetern und bleibt dabei sehr kantenstabil. Beste Voraussetzungen, um zwei obere mittlere Inzisiven zu versorgen, wie Dr. Andreas Kurbad in diesem Fallbericht zeigt.

VITA ENAMIC multiColor Veneers: Ausgangssituation vs. Ergebnis

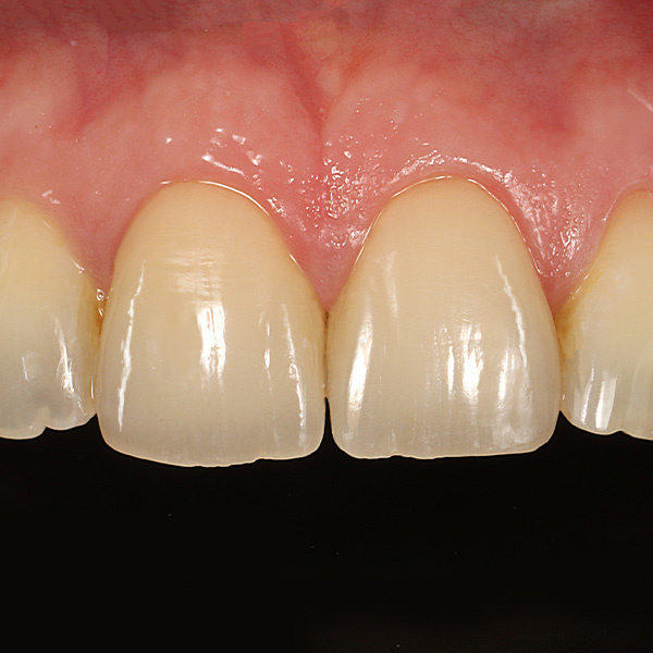
Ergebnis: Der Verlauf der Inzisalkanten harmonierte mit dem Lippenverlauf. Erosion & Abrasion hatten zur verkürzten Schneide und Verlust der Morphologie der Zähne 11 und 21 geführt.

Ihre Neugier wurde geweckt? Dann lesen Sie hier weiter:

Klinische Fallbeispiele im Überblick

Ästhetik per Knopfdruck

Zeiteffizienz: Versorgung in einer Sitzung