Español

Tratamiento con carillas mínimamente invasivo con cerámica híbrida VITA ENAMIC multiColor

Dr. Andreas Kurbad
Dentista, Viersen, Alemania 


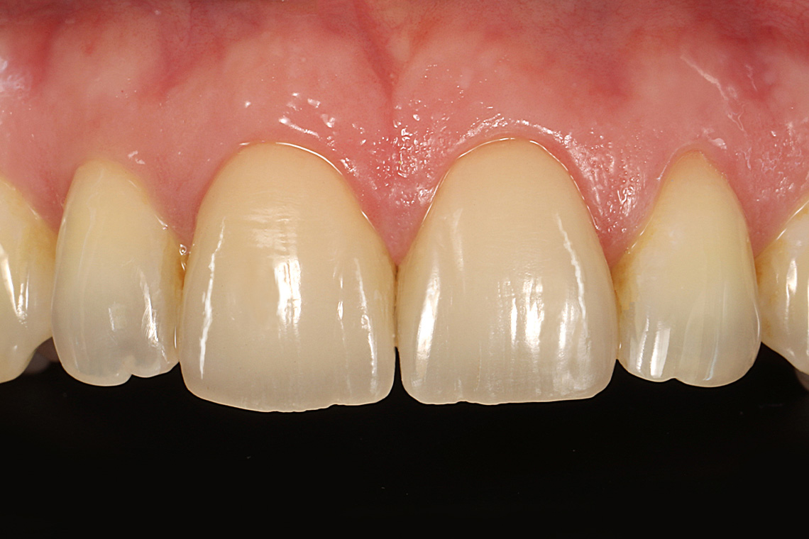
Las correcciones estéticas con carillas deberían ser mínimamente invasivas y limitadas por el esmalte, y desplegar en boca un juego cromático y lumínico natural pese a los grosores de capa reducidos. La pieza en bruto de cerámica híbrida CAD/CAM multicromática VITA ENAMIC multiColor incorpora una transición cromática y de translucidez integrada con seis capas sutilmente escalonadas. Esto permite reconstruir la apariencia natural del diente prácticamente con solo pulsar un botón. Gracias a ello, en la mayoría de los casos se puede prescindir de la caracterización con maquillajes. La matriz dual cerámica y polimérica de la cerámica híbrida permite grosores de pared reducidos de hasta 0,2 milímetros y mantiene una gran estabilidad de ángulos. Son los requisitos ideales para tratar dos incisivos centrales superiores, tal como muestra el Dr. Andreas Kurbad en el siguiente caso clínico.

Tratamiento con carillas mínimamente invasivo con VITA ENAMIC multiColor: Situación inicial vs Resultado final

Resultado: El contorno de los bordes incisales armonizó con el contorno de los labios. La erosión y la abrasión habían conducido al acortamiento de la zona incisal y a la pérdida de la morfología.

Hemos despertado su curiosidad? Entonces siga leyendo aquí

Casos clínicos de un vistazo

Pulsar el botón de la estética

Eficacia del tiempo: atención en una sola sesión