Minimally invasive veneer restoration with hybrid ceramic VITA ENAMIC multiColor

Dr. Andreas Kurbad
Dentist, Viersen, Germany 


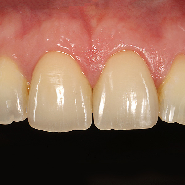
Esthetic corrections with veneers should be minimally invasive and limited to the enamel and, despite the thin layer thickness in the mouth, develop a natural play of shade and light. The multichromatic CAD/CAM hybrid ceramic blank VITA ENAMIC multiColor has an integrated shade and translucency gradient with six finely graduated layers. The natural appearance of the tooth can be reconstructed almost at the touch of a button. Characterization with stains can usually be omitted. The dual ceramic-polymer network structure of the hybrid ceramic allows narrow wall thicknesses of up to 0.2 millimeters, while remaining very edge-stable. These are the best conditions for restoring two upper middle incisors, as Dr. Andreas Kurbad shows in this case report.

VITA ENAMIC multiColor veneer restoration: Initial situation vs. final result

Result: The curve of the incisal edges harmonized with the curve of the lips. Initial situation: Erosion and abrasion led to a shortened incisor and the loss of the morphology of teeth 11 and 21.

Are you interested? Click here and find out more:

Clinical Case Studies Overview

Pushing the Esthetic Button

Time efficiency: Restorations in one session