CAD/CAM-gefertigte Endokrone aus der Hybridkeramik VITA ENAMIC multiColor

Dr. Oxana Naidyonova
Zahnärztin, Karaganda, Kasachstan

 

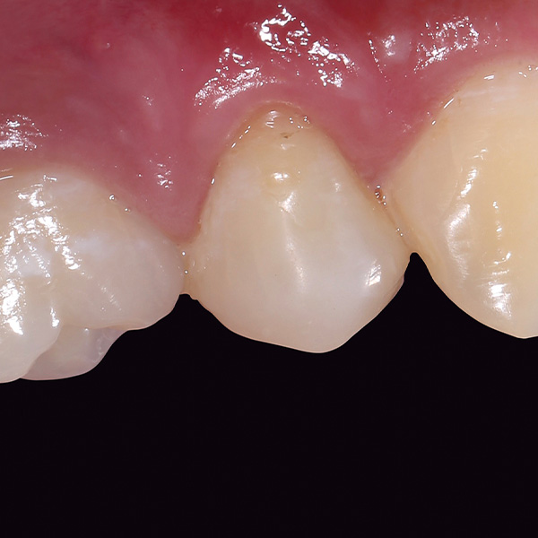
Bei der Versorgung von tief zerstörten, wurzelkanalbehandelten Zähnen mit Endokronen wird defektorientiert und minimalinvasiv vorgegangen. Im Gegensatz zu Präparationen für Vollkronen hat bei Endokronen der Substanzerhalt höchste Priorität. Dafür braucht es jedoch CAD/CAM-Werkstoffe wie das Hybridkeramikmaterial VITA ENAMIC, das in solchen Fällen sehr grazile Rekonstruktionen mit geringen Wandstärken ermöglicht und dessen Werkstoffeigenschaften ein zahnähnliches Verhalten aufweisen. Im vorliegenden Fall wurde die Hybridkeramik auch deshalb ausgewählt, weil sie sich aufgrund hoher Kantenstabilität präzise CAM-technisch verarbeiten lässt und eine sichere adhäsive Befestigung nach bewährtem vollkeramischem Protokoll ermöglicht.

Zahnärztin Dr. Oxana Naidyonova zeigt anhand des folgenden Fallbeispiels Schritt für Schritt ihre Vorgehensweise bei einer VITA ENAMIC multiColor Versorgung.

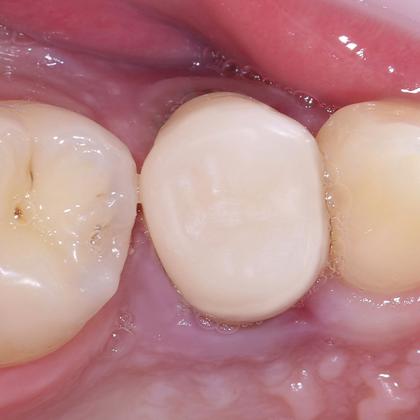
VITA ENAMIC multiColor Endokrone: Ausgangssituation vs. Finales Ergebnis

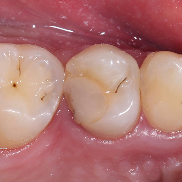
Ergebnis: VITA ENAMIC multiColor integrierte sich harmonisch in die natürliche Zahnsubstanz. Die insuffiziente Kompositfüllung an Zahn 14 (od) hatte zu Entzündungen im Zahnzwischenraum geführt.

Ihre Neugier wurde geweckt? Dann lesen Sie hier weiter:

Klinische Fallbeispiele im Überblick

Erfolgsstrategie bei hohen Belastungen

Ästhetik per Knopfdruck