CAD/CAM-fabricated endocrown made of the hybrid ceramic VITA ENAMIC multiColor

Dr. Oxana Naidyonova
Dentist, Karaganda, Kazakhstan 


Using endocrowns to restore deeply damaged teeth that have undergone root canal treatment is a defect-oriented and minimally invasive procedure. In contrast to full crown preparations, tooth substance preservation is a top priority for endocrowns. However, in these kinds of cases, this requires CAD/ CAM materials such as the biomimetic hybrid ceramic material VITA ENAMIC, that allow for extremely delicate reconstructions with minimum wall thicknesses and material properties that exhibit tooth-like behavior. In the following case, the hybrid ceramic was also selected because its high edge stability allows it to be processed precisely with CAM technology, and it ensures a secure adhesive attachment, according to the proven all-ceramic protocol.
Dentist Dr. Oxana Naidyonova shows her step-by-step procedure for a VITA ENAMIC multiColor restoration.

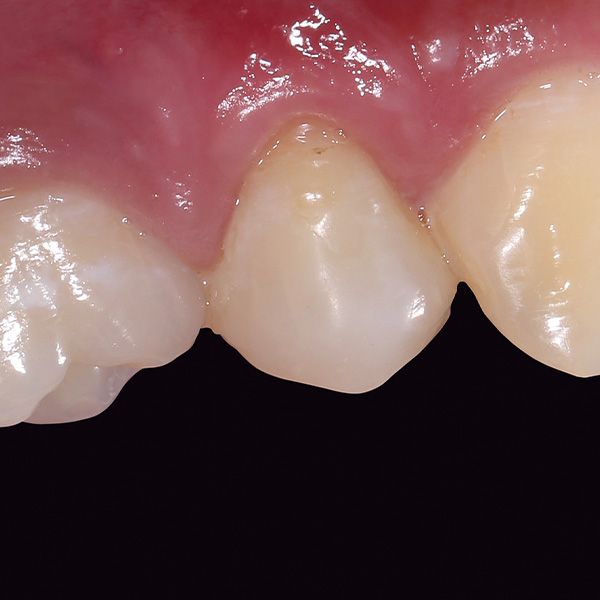
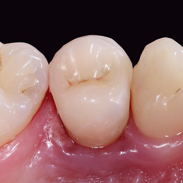
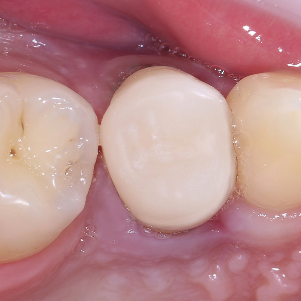
VITA ENAMIC multiColor endocrown: Initial situation vs. final result

RESULT: VITA ENAMIC multiColor integrated perfectly into the natural tooth substance. The insufficient composite filling on tooth 14 (OD) had led to inflammations in the interdental space.

Are you interested? Click here and find out more:

Clinical Case Studies Overview

Success strategy for high loads

Pushing the Esthetic Button