Italiano

Corone post-endodontiche con CAD/CAM in ceramica ibrida VITA ENAMIC multiColor

Dr. Oxana Naidyonova
Odontoiatra, Karaganda, Kazakistan 


Nella riabilitazione di denti gravemente danneggiati, sottoposti a trattamento canalare, con corone postendodontiche si è proceduto in modo funzionale al difetto e minimamente invasivo. Contrariamente alla preparazione per corone integrali, nel caso delle corone post-endodontiche la conservazione di sostanza ha la massima priorità. Occorrono tuttavia materiali CAD/CAM come la ceramica ibrida biomimetica VITA ENAMIC (VITA Zahnfabrik, Bad Säckingen, Germania), che in questi casi consente ricostruzioni molto sottili con spessori ridotti e le cui proprietà merceologiche sono molto simili al dente naturale. In questo caso è stata scelta la ceramica ibrida anche perchè grazie alla stabilità dei bordi consente una lavorazione CAM precisa ed un fissaggio adesivo sicuro in conformità al collaudato protocollo per la ceramica integrale.
Nel seguente caso clinico l'odontoiatra Dr. Oxana Naidyonova mostra la sua procedura passo-passo.

VITA ENAMIC multiColor corone post-endodontiche: Situazione iniziale vs risultato finale

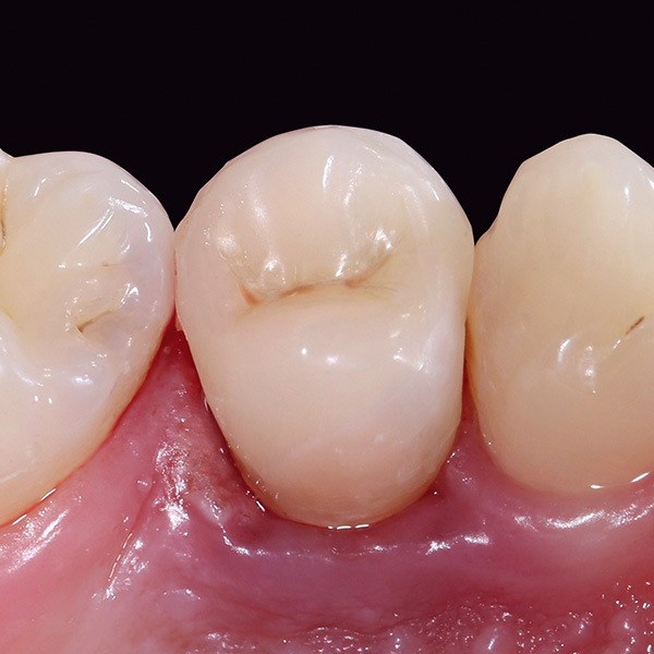
RISULTATO: VITA ENAMIC multiColor si integra armoniosamente nella sostanza dentaria naturale. L'otturazione in composito insufficiente su 14 (od) ha causato infiammazioni nello spazio interdentale.

Abbiamo risvegliato la tua curiosità? Allora continua a leggere:

Esempi di casi clinici in sintesi

Strategia di successo per carichi elevati

Premere sul pulsante dell'estetica