Français

Endocouronne par CFAO en céramique hybride VITA ENAMIC multiColor

Dr Oxana Naidyonova
Dentiste, Karaganda, Kazakhstan 


L’endocouronne est indiquée pour la restauration de dents profondément endommagées ayant fait l’objet d’un traitement canalaire et permet une reconstruction axée sur le défaut et peu invasive. Contrairement aux préparations coronaires complètes, la première priorité dans les endocouronnes est la préservation de la substance. Toutefois, cela nécessite des matériaux CFAO tels que la céramique hybride biomimétique VITA ENAMIC (VITA Zahnfabrik, Bad Säckingen, Allemagne), qui permet dans de tels cas des reconstitutions très délicates avec de faibles épaisseurs de paroi et dont les propriétés sont similaire à celles des dents. Dans le cas présent, la céramique hybride a été retenue parce qu’elle permet une finition FAO précise avec une grande stabilité des arêtes et un collage sûr selon un protocole tout céramique éprouvé.

La dentiste Dr Oxana Naidyonova montre dans le cas suivant sa procédure, étape par étape pour une restauration avec VITA ENAMIC multiColor.

 

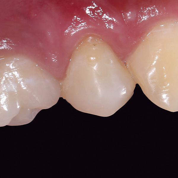
VITA ENAMIC multiColor Endocouronne : Situation initiale vs. résultat final

RÉSULTAT : La reconstitution en VITA ENAMIC multiColor s’est intégrée tout à fait harmonieusement. L’obturation composite inefficace sur la 14 (OD) a entraîné des inflammations dans l’espace interdentaire.

Votre curiosité a-t-elle été piquée ? Poursuivez donc votre lecture ici :

Aperçu des exemples de cas cliniques

Les stratégies de réussite en cas de charges élevées

Appuyer sur le bouton « Esthétique »